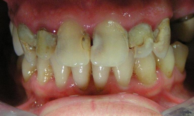
This page shows some photographic images from the hundreds of dentistry procedures performed on patients by Dr. Terry S. Hayes here at our Collierville, TN practice. The photo gallery below contains images of actual patients before and after their dental treatments.
Smile Gallery Categories
Million Dollar Smile!!!

Million Dollar Smile! Dr. Hayes did a great job. You guys have done amazing work with someone who came into your office and had a full mouth of issues. So grateful for that. Thank you all so much. I love you guys.