Collierville Dental Solutions
Terry Hayes DDS, Quy Van DDS, Andrew Robbins DDS
Collierville Dental Solutions
Terry Hayes DDS, Quy Van DDS, Andrew Robbins DDS
Schedule an Appointment!
Leave a Google Review
After Hours:
(901) 596-6307
(901) 850-0700
242 Poplar View Pkwy, Collierville, TN 38017
Emergency Dentist Memphis
Home
About
Our Team
Office Pictures
Services
View All
Emergency Dentist Memphis
Restorative Dental Care
Conscious Oral Sedation Dentistry
General & Family Dentistry
Cosmetic Dentistry
Dental Anxiety Treatment
Dental Implants
Smile Gallery
Testimonials
Patient Info
View Patient Info
Forms
Insurance and Financing
FAQs
Contact
Collierville Dental Solutions
>
Smile Gallery
>
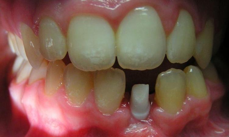
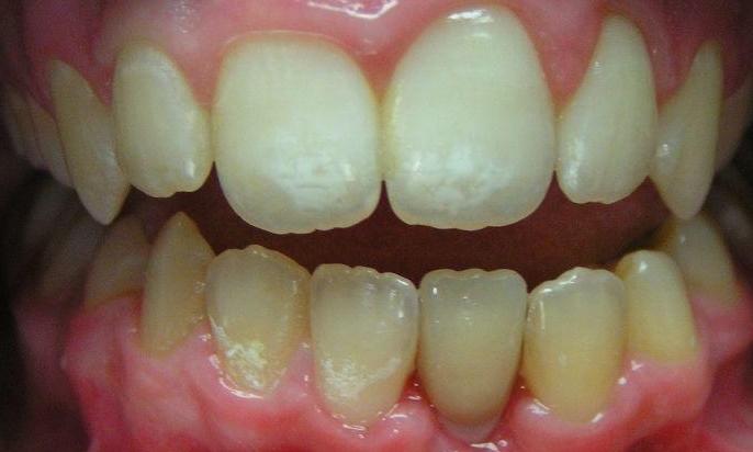
Cosmetic Implants
Cosmetic Implants
Return to Smile Gallery
Previous
Next
Related Services:
Cosmetic Dentistry
Restorative Dental Care
Before
After
Not finding what you need?
Contact Us
If you have difficulty using our website, please
email us
or call us at
(901) 850-0700
View the
ADA Accessibility Statement
Turn on ADA Views
OK!
×
×
Contact Us Today
Give Us A Call
Hayes Cosmetic & Emergency Dentistry -
(901) 850-0700
Send Us an Email
Schedule an Appointment!
Contact
Ready to Schedule an Appointment?
Schedule an Appointment!
Have Questions? Contact Us:
Required Field
Your Name:
Phone:
Email:
Are you a new patient?:
Are you a?
New Patient
Current Patient
How would you like us to contact you?
Please choose
Email
Call
How did you hear about us?
Please choose
I'm an existing patient
Google/Bing
Mailer
Word of mouth
Social media
Other
Who Referred You?:
Appointment Preferences
Monday
Tuesday
Wednesday
Thursday
Your Message:
This site is protected by reCAPTCHA and the Google
Privacy Policy
and
Terms of Service
apply.
Sending...
×
This Patient's Experience
Loading Testimonial...
Loading Case...